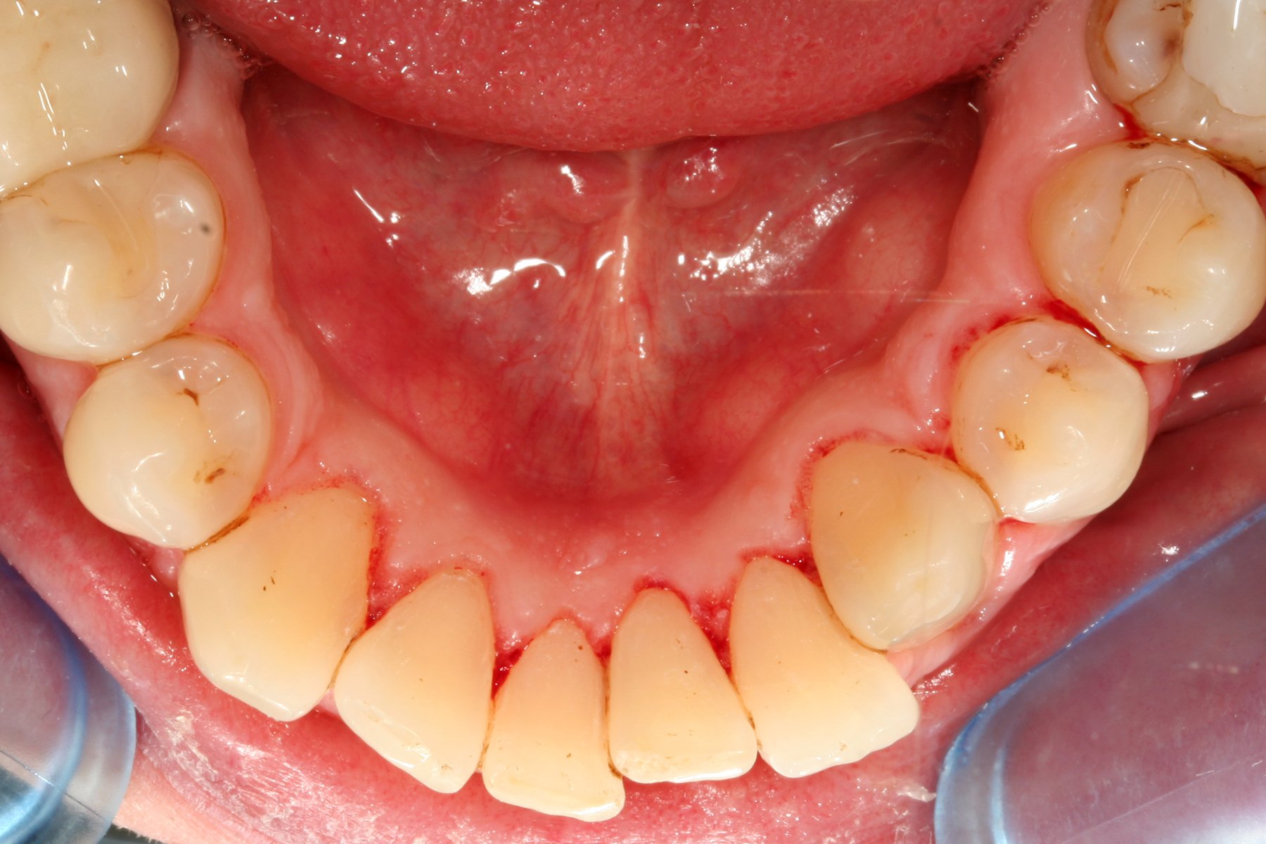
Vorher

 

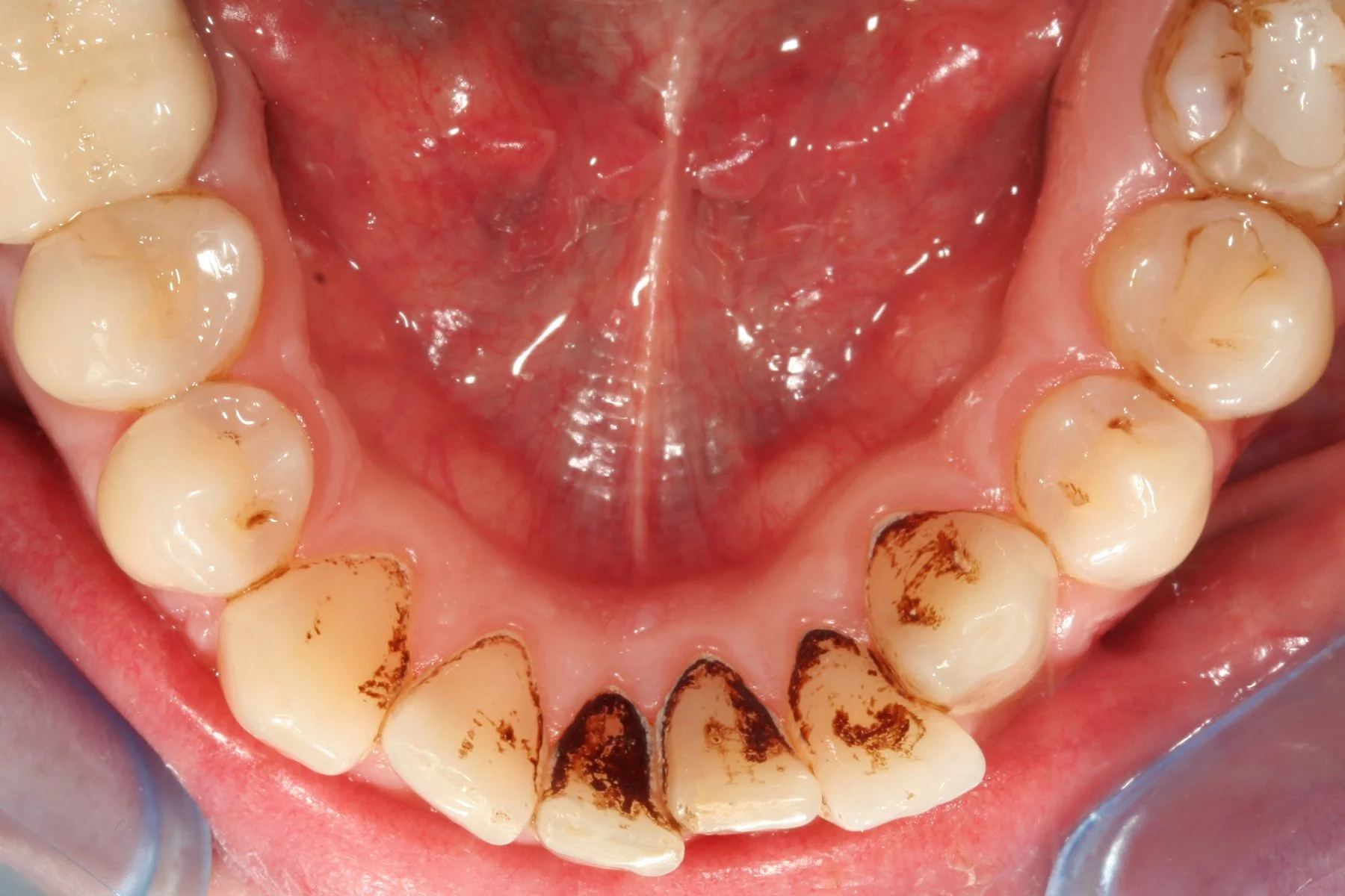
Nachher

 

Professionelle Zahnreinigung:

Gesunde Zähne und ein schönes strahlendes Lachen. Unser Prophylaxekonzept hilft Ihnen mit regelmäßiger professionelle Zahnreinigung vorzubeugen und Zähne zu erhalten. So gehen Sie mit Zähnen bis ins hohe Alter. Werte, die sie sich ein Leben lang erhalten.

Doch wie sie auch bürsten, viele Stellen erreichen sie nicht selber. Hier bilden sich häufig Beläge, Plaque, Zahnstein, Auslöser von Zahnfleischbluten, Karies und schließlich Zahnverlust. Deshalb ist hier professionelle Hilfe gefragt..

Zurück
Zurück

Ästhetik